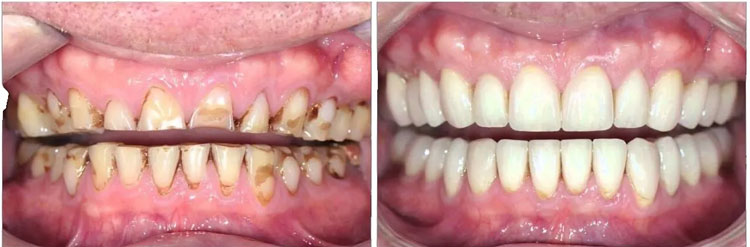
بازسازی کامل دهان یا درمان فول دندانی
بازسازی کامل دهان و دندان به عنوان یکی از مفاهیم مهم در حوزه بهداشت دهان و دندانپزشکی تعریف میشود. این مفهوم شامل درمان و ترمیم دندانهای آسیبدیده، جایگزینی دندانهای از دست رفته، اصلاح شکل و اندازه دندانها، بهبود ساختمان استخوانی دهان و بهبود عملکرد و ظاهر زیبایی دهان و لبخند است.
با توجه به اهمیت بالای سلامت دهان و دندان برای کیفیت زندگی و ارتباطات اجتماعی، بازسازی کامل دهان و دندان مهم است. همچنین نقش بسیار مهمی را در بهبود ایمنی، توانایی جویدن و جلوگیری از بروز مشکلات دهانی ایفا میکند. در این مقاله، به بررسی چگونگی انجام بازسازی کامل دهان و دندان، مزایا و معایب مختلف روشها و نکات کلیدی برای موفقیت در این فرآیند خواهیم پرداخت.

بازسازی کامل دهان چیست؟
توانبخشی یا بازسازی کامل دهان یک درمان دندانپزشکی پیچیده، جامع و چند لایه است. این کار شامل روشهای گستردهای است که برای تغییر شکل لبخند شما، بازیابی عملکرد دندانها و بهبود سلامت دهان انجام می شود.
بازسازی کامل دهان به جای انجام درمانهای تک دندانی، شامل چندین روش دندانپزشکی متوالی است تا سلامت و زیبایی را برای دندانهای شما به همراه بیاورد.
آیا دهان و دندان ما در شرایط طبیعی است؟
قبل از هر کار و استفاده از هر روش درمانی باید ببینیم آیا دهان و دندان ما در شرایط طبیعی است یا خیر. در صورت وجود مشکل و ناهنجاری میتوان برای درمان آن اقدام نمود. در ادامه خلاصهای از وضعیت دهان و دندان در شرایط عادی و غیرعادی آورده شده است.
|
عادی |
غیرطبیعی |
|
|
دندان |
رنگ دندان: سفید طبیعی تا کمی مایل به زرد اندازه و شکل: نسبتاً یکنواخت و متناسب تراز و بایت: کامل، مستقیم، با دندان های جلویی بالایی که در هنگام گاز گرفتن کمی با دندانهای پایینی همپوشانی دارند. |
رنگ: قهوهای تا آبی، سیاه، بنفش، متخلخل و زردتر اندازه و شکل: به طور غیر معمول بزرگ یا کوچک، با سوراخ یا حفره تراز و بایت: کج یا شکاف، با فاصله به دلیل از دست دادن دندان، با برخی از دندانها که بیش از حد بیرون زده یا از تراز عقب رانده شدهاند. |
|
لثه |
صورتی و سفت، با نوکهای ظریف |
قرمز یا رنگ تیره، رنگ پریده، عقب رفته، ملتهب، احساس درد در هنگام لمس، خونریزی |
|
لبها |
قهوهای مایل به قرمز تا صورتی، رنگ ثابت در سراسر حاشیه داخلی |
رنگ ناسازگار، خشک و تکه تکه، متورم، وجود زخم |
|
گونهها |
متقارن از دو طرف |
متورم یا فرورفته |
|
آرواره ها |
متقارن، بدون درد در هنگام باز و بسته شدن دهان |
درد و صدای کلیک در هنگام باز و بسته شدن دهان |
وجود هر کدام از موارد غیرطبیعی گفته شده در بالا میتواند مشکلاتی را برای فرد ایجاد کند. این مشکلات در زمینههای مختلف غذا خوردن، صحبت کردن، زیبایی دهان و دندان و ... وجود دارند. به این صورت با مراجعه به دندان پزشک میتوانید برای برطرف کردن مشکل اقدام نمایید.
چرا ترمیم کامل دهان مهم است؟
بازسازی کامل دهان نیز مانند درمان سایر بیماریهایی که برای افراد پیش میآید، میتواند تأثیر زیادی در سلامت و شرایط زندگی فرد ایجاد کند. افرادی که با چندین مشکل مختلف دهان و دندان مانند دندان از دست رفته یا پوسیده، نامرتبی دندانها، مشکلات فک و لثه و ... روبرو هستند، به بازسازی کامل دهان نیاز دارند.
برای از بین بردن پوسیدگی و بازگرداندن سلامت دندانها ابتدا پوسیدگی دندانها برطرف شده و توسط مواد مخصوص پر میشوند. سپس، باید دندانهای خود را روکش و دوباره مرتب کنید. پس از آن، برای تکمیل لبخند خود میتوانید از درمانهای زیبایی نیز استفاده کنید. اینجاست که بازسازی کامل دهان میتواند تفاوت ایجاد کند زیرا به رفع همه این مشکلات در یک مسیر درمان برنامه ریزی شده با اقدامات دندانپزشکی میپردازد.

درمانهای مربوط به بازسازی کامل دهان کدامند؟
درمانهای ثابتی در این زمینه وجود ندارد و هر وقت با توجه به شرایط دهان و دندان بررسی و درمان میشود. بسته به آنچه بیمار نیاز دارد، برنامه درمانی شامل ترکیبی از روشهای دندانپزشکی عمومی، ترمیمی و زیبایی است که در ادامه برخی از آنها معرفی شدهاند:
- پرکردن دندان
- روکشها
- باندینگ دندان
- درمان کانال ریشه
- کشیدن دندان
- جراحی لثه
- افزایش طول تاج
- تاجهای دندان
- بریج های دندانی
- پروتزهای متحرک - جزئی یا کامل
- ایمپلنتهای دندان
- پیوند استخوان یا بافت
- درمان پریودنتال – جرم گیری یا پلانینگ ریشه
- درمان ارتودنسی – بریس
- درمان TMJ
هزینه ترمیم کامل دهان چقدر است؟
همانطور که دیدید بازسازی کامل دهان شامل درمانهای متفاوتی است. به همین دلیل نمیتوان هزینه ثابتی برای آن در نظر گرفت. به عنوان مثال برای جایگزینی دندانهای از دست رفته روشهای مختلفی مانند ایمپلنت و دندان مصنوعی وجود دارد. هر کدام از این درمانها روشهای مختلفی دارند و هر کدام با هزینههای مختلف برای فرد انجام میشوند. درمانهای زیبایی مانند لمینت، کامپوزیت و ... نیز هر کدام هزینههای خاص خود را دارند و نمیتوان هزینه کلی برای آنها در نظر گرفت.
به همین دلیل برای تعیین هزینه ترمیم کامل دهان ابتدا بیمار باید توسط دندانپزشک ویزیت شده و شرایط دهان و دندان او به طور کامل ثبت شود. پس از بررسی، درمانهای موردنیاز مشخص میشوند. سپس بر اساس این درمانها، هزینهها نیز توسط دندانپزشک تعیین میشوند. کلینیک دندانپزشکی دکتر نوربخش یکی از بهترین و مجهزترین مراکز دندانپزشکی است که درمان و بازسازی کامل دهان و دندان را با بهترین کیفیت و مناسبترین هزینه انجام میدهد.

مراحل درمان بازسازی کامل دهان و دندان کدامند؟
مراحل درمان بازسازی کامل دهان و دندان بسته به وضعیت فرد و نیازهای آن، متفاوت است. اما به طور کلی، مراحل معمولی این مراحل شامل موارد زیر هستند:
ارزیابی ابتدایی
این مرحله شامل ملاقات اولیه با دندانپزشک است، که در آن اطلاعات تاریخچه پزشکی و دندانی شما جمعآوری شده، ارزیابی دقیق دهان و دندان انجام میشود و بررسی نیازهای شما صورت میگیرد.
طراحی طرح درمانی
پس از ارزیابی اولیه، دندانپزشک یک طرح درمانی شخصیسازی شده برای شما تهیه میکند که شامل توصیهها و رویههای مختلفی است که برای بازسازی کامل دهان و دندان شما لازم است.
مراحل درمانی
مراحل درمانی شامل ترمیم دندانهای آسیبدیده، جایگزینی دندانهای از دست رفته با پروتزهای دندانی، اصلاح شکل و اندازه دندانها، عمل جراحیهای لازم و سایر رویههای درمانی مورد نیاز است.
مراقبت و پیگیری
پس از انجام مراحل درمانی، مراقبتهای لازم پس از درمان و پیگیریهای منظم توسط دندانپزشک برای اطمینان از موفقیت درمان و حفظ نتایج به دست آمده انجام میشود.
به همین ترتیب، مراحل درمان بازسازی کامل دهان و دندان بسته به وضعیت فردی شما و نیازهای خاص شما تعیین میشود و ممکن است متغیر باشد.
مزایای بازسازی کامل دهان و دندان نسبت به درمان تکی چیست؟
بازسازی کامل دهان و دندان نسبت به درمانهای تکی، مزایای متعددی دارد که در ادامه ذکر شدهاند.
- جامعیت: بازسازی کامل دهان و دندان شامل یک طرح درمانی گسترده است که به طور جامع به تمامی مشکلات دهانی فرد پرداخته و آنها را حل میکند. این روش به افراد اجازه میدهد که به طور کلی از وضعیت بهداشت دهانی بهتری برخوردار شوند.
- توازن و هماهنگی: بازسازی کامل دهان و دندان معمولاً شامل ترکیب مختلفی از روشها و فرآیندهای درمانی است که با هم هماهنگ شدهاند تا به ایجاد یک نتیجه زیبا و توازندهنده در دهان شخص کمک کنند.
- زمان و هزینه: در برخی موارد، بازسازی کاملی که برای دهان و دندان صورت میگیرد، ممکن است زمان و هزینه بیشتری را بطلبد. اما به طور کلی، انجام یک بار فرآیند بازسازی کامل میتواند از انجام مکرر درمانهای تکی و هزینههای بیشتر در آینده جلوگیری کند.
- نتایج دائمی: این روش بازسازی معمولاً به نتایج دائمیتری منجر میشود. این موضوع به این دلیل است که این نوع درمان شامل ترمیم و تعمیرات گستردهتری است که به طور کلی از مواد و فناوریهای پیشرفتهتری استفاده میکند.
با توجه به مزایای بالا، بازسازی کامل دهان و دندان میتواند یک گزینه موثر و مطلوب برای افرادی با مشکلات دهانی گسترده باشد.
بازسازی کامل دهان چقدر طول می کشد؟
مدت زمان لازم برای بازسازی کامل دهان بسته به موارد مختلفی از جمله وضعیت فعلی دهان و دندان، نیازهای درمانی فرد و طرح درمانی مورد استفاده، متغیر باشد. این ممکن است از چند ماه تا چندین ماه یا حتی بیشتر طول بکشد.
هرکدام از مراحل موردنیاز برای بازسازی و مراقبتهای پس از درمان به مدت زمان متفاوتی نیاز دارند. هر یک از این مراحل میتواند زمان متفاوتی را از شروع تا پایان درمان به خود بگیرد. برای دقیقترین تخمین ممکن از زمان لازم، بهتر است با دندانپزشک یا تیم درمانی خود مشورت کنید. آنها میتوانند بر اساس وضعیت شما و نیازهای درمانیتان، یک برنامه زمانبندی مناسب ارائه دهند.
سخن آخر
در این مقاله، به بررسی مفهوم و مزایای بازسازی کامل دهان و دندان پرداختیم. بازسازی کامل دهان و دندان یک فرآیند چندلایه و جامع است که بهبود عملکرد و ظاهر دهان و دندانها را به منظور بهبود کیفیت زندگی فردی ارتقاء میدهد. این درمان شامل تعمیر دندانهای آسیبدیده، جایگزینی دندانهای از دست رفته، اصلاح شکل و اندازه دندانها و دیگر رویههای درمانی مورد نیاز است. بازسازی کامل دهان و دندان از مزایایی همچون جامعیت در درمان، توازن و هماهنگی در نتایج و نتایج دائمیتر نسبت به درمان تکی برخوردار است. با انجام مراحل درمان متناسب با نیازهای شخصی و توصیههای دندانپزشک، فرد میتواند به یک لبخند زیبا و بهداشت دهانی بهتر دست یابد.